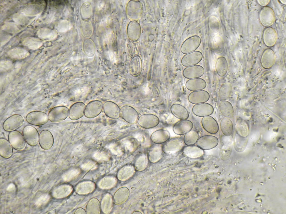
Mai 8, 2020 Pseudombrophila Boud. 1885 1000 × 750 e Asci mit Sporen in Wasser, x1000 Gefällt mir Wird geladen …