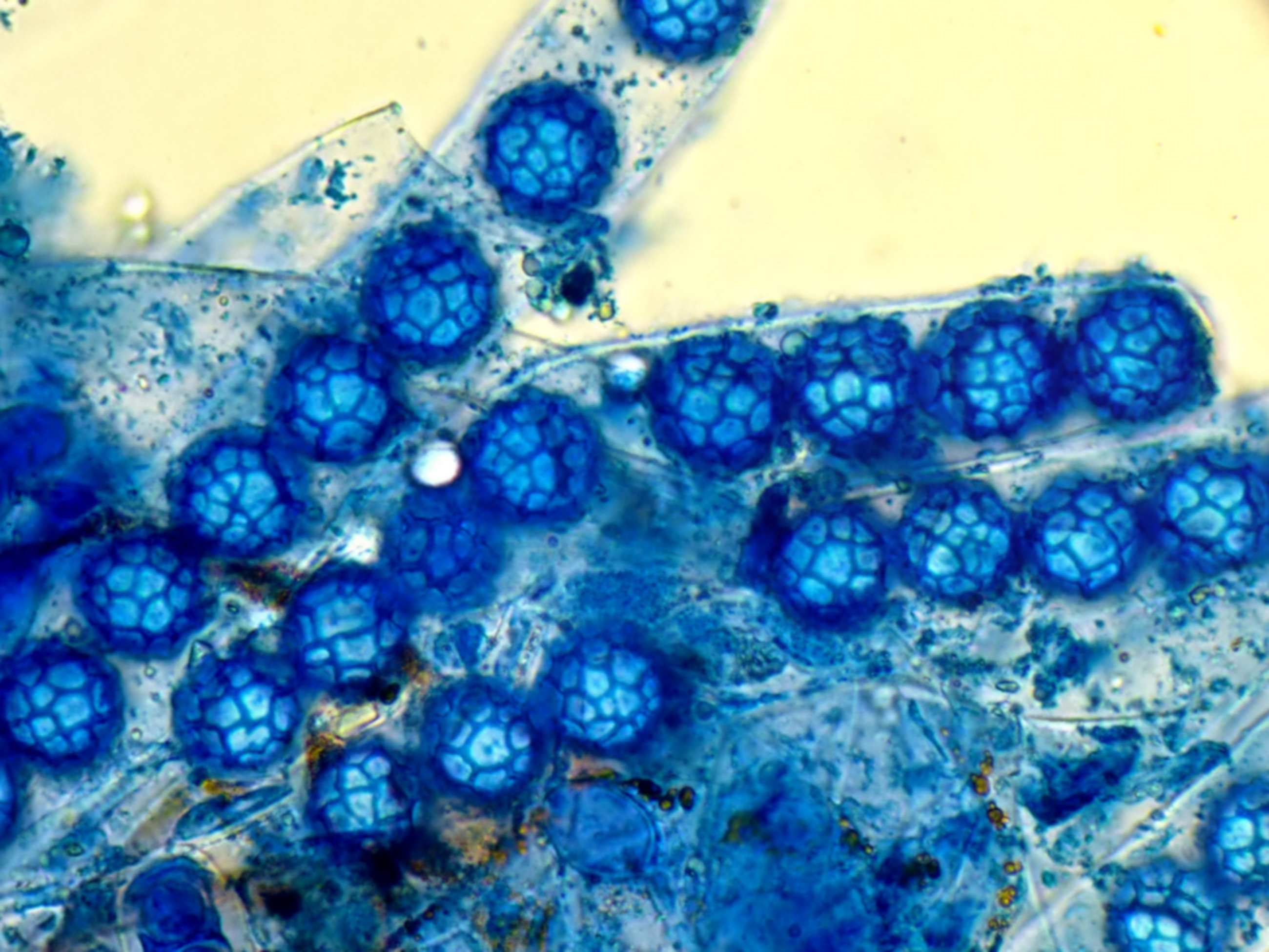
April 13, 2020 Lamprospora De Not. 1863 2600 × 1950 Modified by CombineZP Asci und Sporen in CB, x1000 Gefällt mir Wird geladen …